APSGN in focus

19 Dec 2024

CRANAplus spoke with medical doctor, researcher and educator, Dr Allison Hempenstall, Public Health Medical Officer of the Torres and Cape Hospital and Health Service, to discuss the nuances of acute post-streptococcal glomerulonephritis (APSGN), its causes, symptoms,
trends and the importance of prevention strategies.

Dr Alli­son Hempen­stall, Pub­lic Health Med­ical Offi­cer of the Tor­res and Cape Hos­pi­tal and Health Service

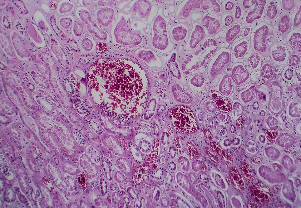
Acute post-strep­to­coc­cal glomeru­lonephri­tis – oth­er­wise known as APS­GN – is an inflam­ma­to­ry dis­ease of the kid­neys fol­low­ing a skin or throat infec­tion with Strep­to­coc­cus pyo­genes, known as group A strep­to­coc­cus (GAS), or occa­sion­al­ly groups C or G streptococcus.

In Aus­tralia, reports sug­gest Abo­rig­i­nal and/​or Tor­res Strait Islander chil­dren have amongst the high­est rates of APS­GN report­ed world­wide, and the rate of new cas­es has increased over the last 25 years. Despite this, still so much is unknown about APS­GNs preva­lence in Aus­tralia and a lot of more can be done in the pre­ven­tion of the disease.

What is APS­GN and how is it caused?
APS­GN stands for acute post-strep­to­coc­cal glomeru­lonephri­tis. It’s an autoim­mune response after expo­sure to a Strep A infec­tion (e.g. ton­sil­li­tis, impeti­go). Autoan­ti­bod­ies that are sup­posed to tar­get the Strep A infec­tion instead tar­get the kidneys.

What is your cur­rent expo­sure to APS­GN?
We see quite a bit of APS­GN in Far North Queens­land and there is emerg­ing evi­dence that an episode of APS­GN increas­es a patient’s risk of chron­ic kid­ney dis­ease lat­er in life. Par­tic­u­lar vir­u­lent strains of Strep A can spread quick­ly through a com­mu­ni­ty and cause an APS­GN out­break. All these things are impor­tant to under­stand bet­ter in order to try and reduce and ulti­mate­ly pre­vent cases.

What are the com­mon symp­toms and com­pli­ca­tions asso­ci­at­ed with APS­GN?
The symp­toms include: oede­ma (facial or periph­er­al), hyper­ten­sion and haema­turia. Com­pli­ca­tions range from hyper­ten­sive cri­sis
(acute) through to chron­ic kid­ney dis­ease (chron­ic).

What trends have you observed in the inci­dence of APS­GN in Aus­tralia over recent years?
We know that there are high­er rates of APS­GN in First Nations com­mu­ni­ties, espe­cial­ly those who are socio-eco­nom­i­cal­ly dis­ad­van­taged, as this essen­tial­ly is a dis­ease of socio-eco­nom­ic dis­ad­van­tage. But over­all, I don’t think we real­ly have a good grasp on the true inci­dence of APS­GN in Aus­tralia. I would hope that as socio-eco­nom­ic dis­ad­van­tage improves over time, APS­GN cas­es will decline.

How does the preva­lence of APS­GN in First Nations com­mu­ni­ties com­pare to oth­er pop­u­la­tions in Aus­tralia?
Although the evi­dence is lim­it­ed, some stud­ies have report­ed that the preva­lence of APS­GN in First Nations com­mu­ni­ties is high­er than non-First Nations com­mu­ni­ties.

What are the major chal­lenges in address­ing APS­GN out­breaks in remote com­mu­ni­ties?
There are many chal­lenges includ­ing access to remote loca­tions (espe­cial­ly in the wet sea­son when trans­port may be lim­it­ed) and human resources (out­break respons­es are resource inten­sive and often require a team to fly into a com­mu­ni­ty and work in part­ner­ship with the local staff).

What pre­ven­ta­tive mea­sures can com­mu­ni­ties take to reduce the inci­dence of APS­GN?
Have you heard of the nine healthy liv­ing prac­tices? These are: wash­ing peo­ple, wash­ing clothes and bed­ding, remov­ing waste­water, improv­ing nutri­tion, reduc­ing over­crowd­ing, reduc­ing insect bites, reduc­ing impacts of dust, con­trol­ling the tem­per­a­ture of the liv­ing envi­ron­ment, reduc­ing haz­ards that cause trauma.

How effec­tive are cur­rent treat­ment options for APS­GN, and what is the prog­no­sis for affect­ed indi­vid­u­als?
Cur­rent treat­ments for APS­GN include stop­ping the Strep A with a long act­ing peni­cillin antibi­ot­ic; man­ag­ing high blood pres­sure with anti­hy­per­ten­sives; and man­ag­ing oedema.

Pho­to: Dr_​Microbe – stock​.adobe​.com

What pol­i­cy changes would you advo­cate for to improve the man­age­ment and pre­ven­tion of APS­GN in Aus­tralia?
Healthy hous­ing is a human right. Yet in Aus­tralia – many peo­ple of all eth­nic­i­ties do not live in safe and healthy hous­ing. This is everybody’s issue that we must address at a local, state and nation­al level. 

How can health­care sys­tems bet­ter engage with First Nations com­mu­ni­ties to address health dis­par­i­ties relat­ed to APS­GN?
Ensur­ing any local pub­lic health respons­es are First Nations-led and in close part­ner­ship with local First Nations com­mu­ni­ties (for exam­ple the local coun­cil and local health­care centre).

What do you see as the future direc­tions for research and pub­lic health pol­i­cy regard­ing APS­GN?
We need to bet­ter under­stand APS­GN across all of Aus­tralia. There has been fan­tas­tic epi­demi­o­log­i­cal research from the North­ern Ter­ri­to­ry, how­ev­er we need to under­stand the dis­ease in oth­er areas such as Queensland.

Are there any promis­ing devel­op-ments, such as poten­tial vac­cines or inno­v­a­tive treat­ment strate­gies, on the hori­zon for APS­GN?
The Aus­tralian Strep A Vac­cine Ini­tia­tive (ASAVI) is an Aus­tralian-led glob­al ini­tia­tive with the goal of reduc­ing the dis­ease bur­den caused by Group A Strep­to­coc­cus (Strep A) infec­tion through effec­tive vaccination.

For more infor­ma­tion on Healthy Liv­ing Prac­tices, vis­it: https://​www​.health​.nsw​.gov. au/environment/aboriginal/Pages/healthy-living-practices.aspx